Por el doctor Plutarco Arias, neumólogo, presidente de la Sociedad Dominicana de Neumología y Cirugía de Tórax.
Según la Global Iniciative Chronic Obstructive Lung Disease (GOLD 2023) define como un ´´ trastorno pulmonar heterogéneo, caracterizado por síntomas respiratorios crónicos (disnea, tos, expectoración y/o agudizaciones) secundarios a alteraciones de las vías respiratorias (bronquitis, bronquiolitis) y/o los alvéolos (enfisema) que provocan obstrucción al flujo aéreo persistente y a menudo (pero no siempre) progresiva´´.
Sin embargo, desde mi punto de vista a lo largo de los años, coincido que es una enfermedad heterogénea, sin dejar de incluirla como una enfermedad multisistémica que afecta primariamente al pulmón, pero a su vez puede afectar sistema cardiovascular, sistema endocrino, sistema nervioso, prevenible y tratable en vista que sus mayores factores de riesgos que están dados por el tabaco, la exposición pasiva, cocineros de humo de leña y todo lo que implique contaminación atmosférica.
- RASGOS OBSERVABLES FÍSICAS Y RADIOLÓGICAS DE ESTOS PACIENTES:
BRONQUITIS CRONICA: tos y expectoración por más de 3 meses y por más 2 años consecutivos.

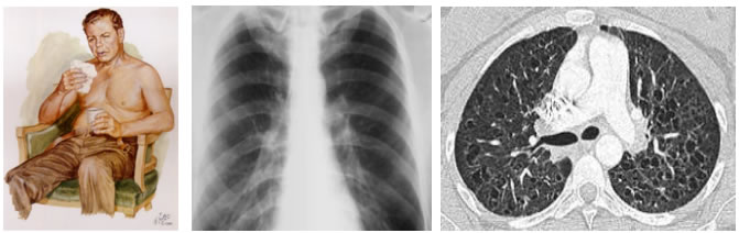
Figura 1. Blue bloater, actualización de la guía española para el manejo de la EPOC ( GesEPOC2017)
Figura 2. Manual MSD
Figura 3. Actualización de la enfermedad pulmonar obstructiva crónica: claves clínicas y hallazgos radiológicos en tomografía computarizada por Felipe Aluja Jaramillo, Juan Andrés Mora Salazar. 2018
ENFISEMA PULMONAR: destrucción y dilatación de los espacios alveolares que alteran intercambio.
Figura 6. Pink buffer, actualización de la guía española para el manejo de la EPOC (GesEPOC2017)
Figura 7. Manual CTO Neumología y Cirugía Torácica, 8va edición.

Figura 8. Video aula radiología, radiology with Jezreel noviembre 2016.
- SÍNTOMAS:
- Bronquitis crónica: tos, disnea, expectoraciones blanquecinas en la etapa incipiente que se asocia con dificultad respiratoria al esfuerzo que se desarrolla de manera progresiva con el tiempo, convirtiendo al paciente en discapacitado respiratorio. A medida que se exponen más al humo de tabaco su situación clínica empeora llegando a crecimiento de corazón derecho, congestión vascular y hepatomegalia, así como edema de extremidades. Con una gasometría con oxigeno bajo, aumento de co2.
- Enfisema: su primera manifestación disnea acompañado de tos seca con labio fruncido, a eso se debe el nombre de sopladores rosado, con pérdida de masa corporal, así como aumento de la dificultad respiratoria a mínimos esfuerzos.
Fuente: Manual AMIR Neumología y Cirugía Torácica, (12av edición)
- Auscultación pulmonar:
- Bronquitis crónica: roncus y sibilancias, mucha tos con roco persistente, aumento de trama bronco vascular en la radiografía y tomografía.
- Enfisema pulmonar: disminución murmullo vesicular pulmonar generalizado, hiperresonancia e hipertransparencia en la radiografía con descenso del diafragma y presencia Bullas enfisematosas.
OPINIÓN PERSONAL:
En este momento la República Dominicana está cursando con un 14-15 % de EPOC entre los pacientes que acuden a consulta de neumología tomado de los reportes de la plataforma de la actual directiva de la Sociedad Dominicana de Neumología y Cirugía de Tórax.
Ante estos males hacemos un llamado a toda la población para no seguir exponiéndose a humo de tabaco de primera, segunda o tercera mano. A pesar de la gran cantidad en el arsenal terapéutico para estas enfermedades, si no se eliminan de raíz las causas, los gastos en medicamentos serán mayores y la respuesta al tratamiento será menor. Así mismo, hacemos un llamado a todo paciente con Enfermedad Pulmonar Obstructiva Crónica para inmunizarse contra la infecciones virales y bacterianas prevenibles por vacunas.







